Computed Ultrasound (CUS)

MRI-level 3D imaging in 3 minutes

AI-powered handheld imaging that delivers submillimeter 3D diagnostic scans — operable by any healthcare worker, anywhere in the world.

  • Handheld probe, no specialist equipment needed
  • Full 3D volume output in standard NIfTI format
  • Any HCA can operate it — no radiographer required
  • UK MDR 2002 compliant — no MHRA device registration required
  • Works in clinics, rural settings, and field hospitals
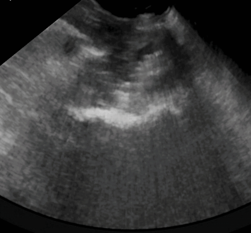
CUS cardiac 3D scan
Cardiac Module Live 3D CUS scan
<3 min
Full 3D scan time vs 30–45 min for MRI
<1mm
Voxel resolution — comparable to MRI
94%
Gross margin on a pure SaaS model

Diagnostics is broken

Patients wait weeks for MRI and CT appointments. Costs are prohibitive. Access requires specialist infrastructure that most of the world simply doesn't have.

Weeks

Waiting for answers

Patients wait weeks or months for MRI and CT scans. Anxiety builds, disease progresses, and outcomes worsen while queues grow.

£500+

Crushing scan costs

MRI costs £500–750 per scan. Machines cost £3M. Healthcare systems can't scale access fast enough to meet diagnostic demand.

Fixed

Infrastructure-bound

Specialist radiographers, shielded rooms, fixed infrastructure. Not available in GP clinics, rural areas, or emergency zones.

What makes CUS different

A complete rethink of how diagnostic imaging works — from the hardware to the workflow to the output format.

Handheld probe

Pairs with a standard smartphone. No trolleys, no fixed rooms. Pocket-sized and deployable in seconds anywhere a clinician goes.

AI reconstruction engine

Proprietary deep-learning algorithms reconstruct raw signals into high-fidelity 3D NIfTI volumes with submillimeter resolution in real time.

No radiographer needed

Guided acquisition workflows mean any trained HCA can perform a diagnostic scan. The AI handles image interpretation entirely.

3-minute turnaround

Same-day diagnostic pathways, at the point of care.

Works anywhere

No mains power, no shielded room, no capital infrastructure. GP clinics, rural posts, fertility centres, field hospitals.

Regulatory clarity

Classified as non-medical device software under UK MDR 2002 — no MHRA device certification required, enabling immediate commercial deployment.

Live 3D scan outputs

CUS reconstructs full volumetric data in real time. These are direct outputs from the system — a before/after musculoskeletal pair showing measurable structural change following physiotherapy.

Diagnostic modules

CUS uses a modular architecture — each clinical application is a discrete AI model trained on validated datasets. Three modules are commercially live today, with 20+ in active development.

KUB
Prostate
TA Pelvis
Cardiac
Obstetric / Fetal
Hepatic / Liver
Thyroid
Musculoskeletal
Vascular
Abdominal Aorta
Lung / Pleural
+ 9 in pipeline

● Live  ○ In development

From probe to report in 3 minutes

A simple four-step workflow designed to be operated by any trained healthcare assistant — no specialist expertise required.

1

Select module

Open the CUS app and select the relevant anatomical module. No configuration required — the AI handles the rest.

2

Guided acquisition

On-screen prompts guide probe placement. The AI tracks position in real time and confirms adequate anatomical coverage before proceeding.

3

AI reconstruction

Raw signals are processed through the CUS deep-learning engine, producing a full 3D NIfTI volume in under three minutes.

4

PACS connectivity

Images sent to PACS for clinical review and integration into the patient's medical record.

Frequently asked questions

CUS reconstructs at submillimeter (under 1mm) voxel resolution — comparable to clinical MRI. The AI reconstruction engine uses proprietary deep-learning to compensate for the physical limitations of ultrasound, producing 3D volumetric data that has been validated in two independent clinical pilots against conventional imaging modalities.

No. CUS is designed to be operated by any trained Healthcare Assistant (HCA). The guided acquisition workflow walks the operator through probe placement step by step. In our clinical pilots, non-specialist operators successfully reproduced specialist-grade imaging outputs with minimal training.

CUS outputs standard NIfTI (.nii.gz) format — the same format used by MRI and CT systems. NIfTI files open natively in 3D Slicer, ITK-SNAP, FSLeyes, and most PACS systems. There is no proprietary lock-in and no new software required for radiologist review.

Under UK MDR 2002, CUS is classified as non-medical device software — no MHRA device registration is required, enabling immediate commercial deployment. Two independent third-party clinical pilots have confirmed diagnostic concordance with conventional imaging modalities. Three modules — KUB, Prostate, and TA Pelvis — are ready for commercial deployment today.

The core AI reconstruction algorithms are protected as trade secrets. The competitive advantage lives in the model weights and training methodology, not the hardware — making it extremely difficult to reverse engineer even if the probe hardware were replicated.

Ready to see CUS in action?

We're actively deploying across healthcare sites in the UK. Whether you want a demo, a partnership conversation, or have technical questions — we'd love to hear from you.

jason@carriertech.uk

Request a demo

Tell us about your setting and we'll arrange a live demonstration of the CUS system.